AI ska läsa av höftledsröntgen
Svenska Kennelklubben (SKK) tar hjälp av AI för att utveckla framtidens avläsningar av höftledsröntgen hos hundar.


Foto: Stock.adobe
Tillsammans med forskare vid Kungliga Tekniska Högskolan startar Svenska Kennelklubben nu ett projekt som ska pröva om AI kan bidra med snabbare, säkrare och mer enhetliga resultat.
Höftledsröntgen används för att upptäcka höftledsdysplasi, en ärftlig ledsjukdom som kan orsaka smärta och hälta hos hundar. Varje år röntgas tusentals hundar i Sverige och bilderna skickas in till SKK för avläsning och gradering.
I det nya projektet delar SKK med sig av över 325 000 röntgenbilder som ska användas för att träna algoritmen. Förhoppningen är att tekniken i framtiden även kan användas på bilder från andra nordiska länder.

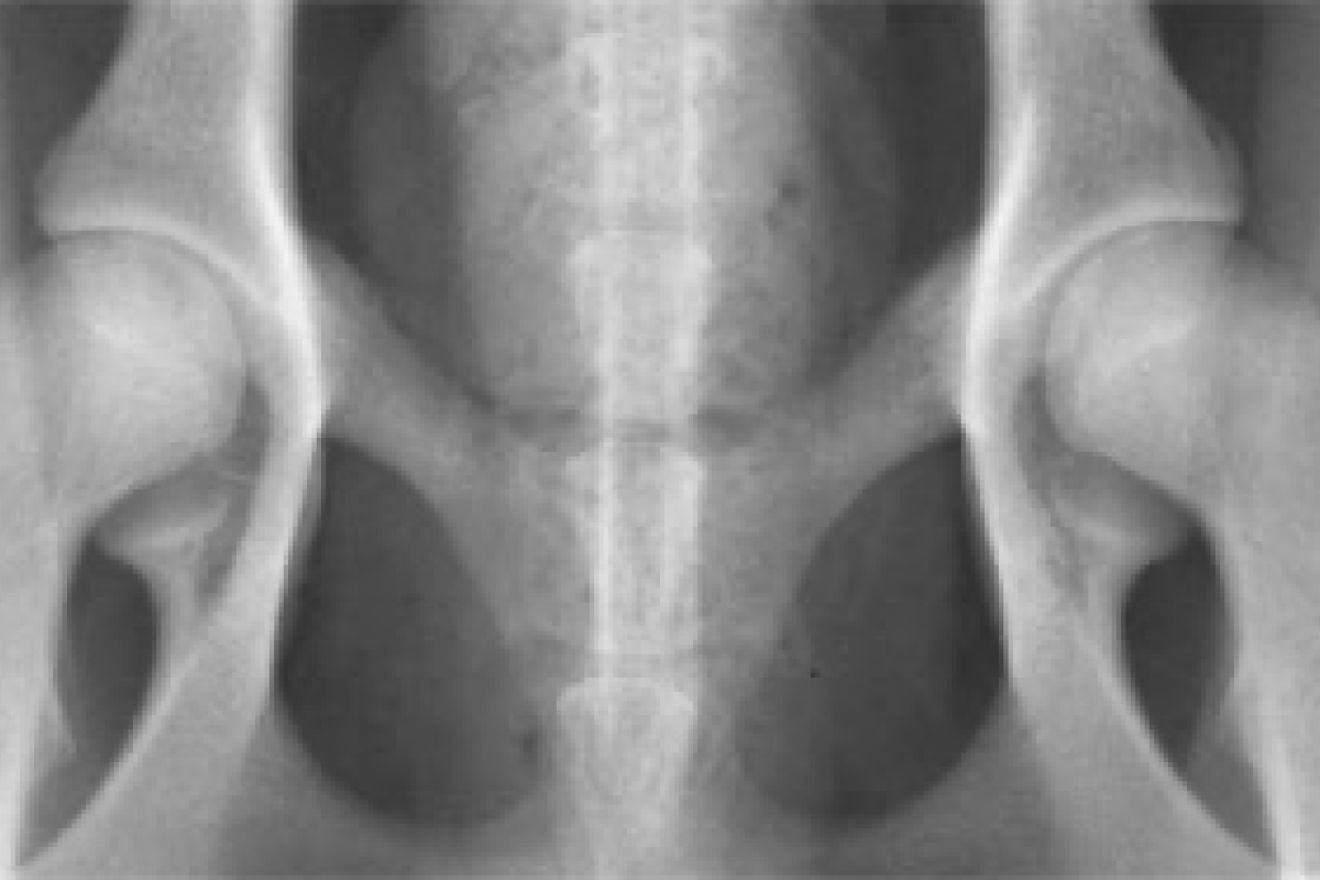
Bild: Röntgenbild av en höftled.
– AI-avläsningar kan ge resultat medan hunden fortfarande är kvar på kliniken, vilket vore en stor vinst för både veterinärer och djurägare, säger Kevin Smith, professor i biomedicinsk bildanalys.
Många fördelar med AI-teknik
Även forskaren Emir Konuk ser stor potential i projektet. Han har tidigare visat att AI kan prestera minst lika bra som erfarna läkare vid avläsning av medicinska bilder. – Jag ville gärna arbeta med det här eftersom jag tycker mycket om hundar. När vi såg röntgenbilderna stod det klart att vi kan genomföra projektet, säger han.
För SKK är satsningen en naturlig fortsättning på ett långvarigt arbete. Klubben har registrerat resultat från höftledsröntgen i över 50 år.
– Det känns väldigt spännande att nu ta ytterligare ett steg i utvecklingen. Vi ser många fördelar för hundägarna med att omfamna den nya teknik som AI innebär, säger Ulf Uddman, tillförordnad vd på SKK.
På sikt hoppas SKK att tekniken också ska kunna användas för avläsning av armbågar, rygg och knäleder.
Fakta: Höftledsröntgen och AI
- Varför röntgas hundar? Höftledsröntgen används för att upptäcka höftledsdysplasi (HD), en ärftlig sjukdom som kan orsaka smärta, stelhet och hälta. Resultatet är också viktigt i avelsarbetet för att minska risken för att sjukdomen förs vidare.
- Så fungerar AI-avläsning: Algoritmen tränas på hundratusentals röntgenbilder för att lära sig känna igen mönster som tyder på friska eller sjuka höftleder. När den väl är tränad kan AI snabbt analysera nya bilder och ge en konsekvent bedömning.
- Fördelar för hundägare:
- ✔️ Snabbare besked direkt på kliniken
- ✔️ Mer enhetliga resultat
- ✔️ Veterinärens tid kan sparas till de svårare fallen